

T1-gewichtetes
MRT, T1-gewichtetes MRT nach i.v. KM, T2-gewichtetes MRT:
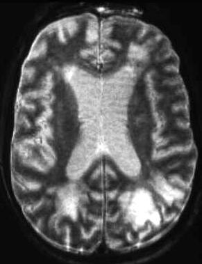
Transversale
Schnittebene durch das Gehirn in Höhe der Seitenventrikel.
Typische
Bildbefunde:
Das Lymphom
kann sich als solider Tumor, aber auch wie in diesem Beispiel als infiltrativer
Prozess ausdehnen. Hochpathologisch sind die im occipitalen Marklager,
aber auch frontal befindlichen, Signalveränderungen in Kombination
mit Kontrastmittelanreicherungen. Die Liquorräume sind im Rahmen einer
Hirnatrophie erweitert. Es handelt sich um einen Patienten mit erworbenem
Immunmangelsyndrom.
Typisches
klinisches Bild:
Das Lymphom
tritt gehäuft im Rahmen von AIDS auf, dann mit schlechter Prognose.
Hirnleistungsstörungen.